English
中文版
Pусский
Español
Заявка
|
Регистрироваться
CHISON
Главная
Продукция
Ч&Б Система
Цветной Доплер
Ветеринария
Ручной УЗИ
Фотогалерея
Сервис
Стратегия Обслуживания
FAQ
Отзывы
Скачать
Процесс Ремонта
Событие
Мероприятия
Новости
О нас
Профиль
История
Слава
Мировой Пользователь
Карьера
Концепция Занятости
Работа
Контакт
Связаться с Нами
Карта
Home > Products > Color Doppler
ECO 1
Отличный Дизайн, Удивительная Цена
ТЕХНОЛОГИЯ
ОПЦИЯ
ДЕМО ИЗОБРАЖЕНИЯ
C3-A
Конвексный
L7M-A
Линейный
L7S-A
Линейный
MC3-A
Микро-конвексный
V6-A
Трансвагинальный
MC6-A
Микро-конвексный
Clinic Value and Applications
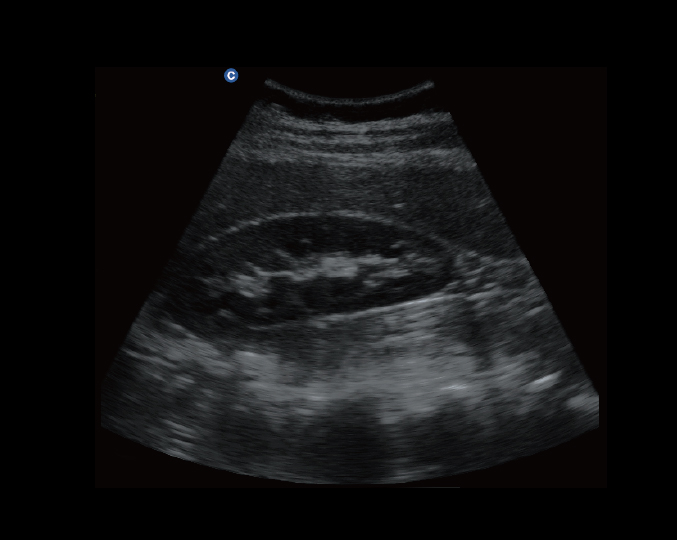
Сагиттальный срез, Режим B
Раняя Беременность, Режим В
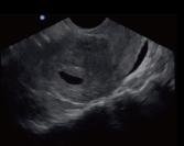
Почка, Режим B
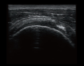
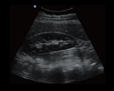
Подлопаточное Сухожилие, Режим B
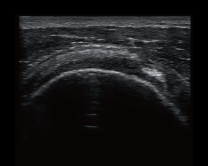
Щитовидная Железа, Режим B
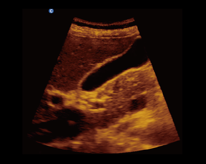
Холецист, Режим B
НАВИГАЦИЯ
Какой вопрос у вас?
Напишите нам пожалуйста
Cоотносительные продукты
49% Views:
SonoTouch 20
Черно-белая УЗ система с доплером, Удивительно хорошая.
Go Top