Movilidad Diseño innovador
◈Peso ligero ( 7.5Kg/16.5lbs )
◈Ángulo de visión amplio 15 '' LED (0 ° -30 ° inclinado)
◈Batería extraíble, 120 minutos en modo activo
◈Puertos duales del transductor (incorporados)
◈porta-sonda
◈Puertos: USB LAN VGA DVA VIDEO Mando a distancia
◈Carrito ergonómico (caja de accesorios, soporte de la impresora y sostenedores, opcional: cerradura antirrobo)
◈Función de tecla de disparo
◈Multi lenguaje
Versatilidad de la clínica
Tecnologías Avanzadas
FHI


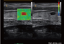
Elastography
◈ Elastography se muestra la rigidez del tejido en tiempo real para proporcionar a los médicos información diagnóstica adicional al escanear órganos como el hígado y el pecho.

Q-beam
◈ Comparado con el haz dual tradicional en la mayoría de las máquinas de ultrasonido, el EBit 60 utiliza la tecnología de cuatro haces para la recepción de señales de ultrasonido.
◈ Doble el volumen de señales recibidas sobre los métodos tradicionales, aumentando la resolución de la imagen y generando imágenes más precisas.
◈ Produce una velocidad de fotogramas más alta, garantizando una mayor confianza y eficiencia en el diagnóstico, especialmente para órganos en movimiento.


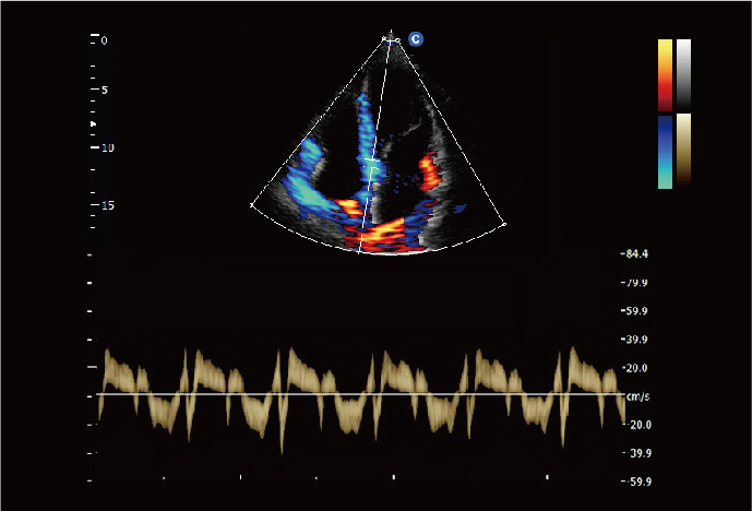
Reg ulación de la válvula aorta, Modo CW
TDI, Modo PW
Eje largo LV, Free M Mode
Apical Cuatro Cámaras, Color M Mode
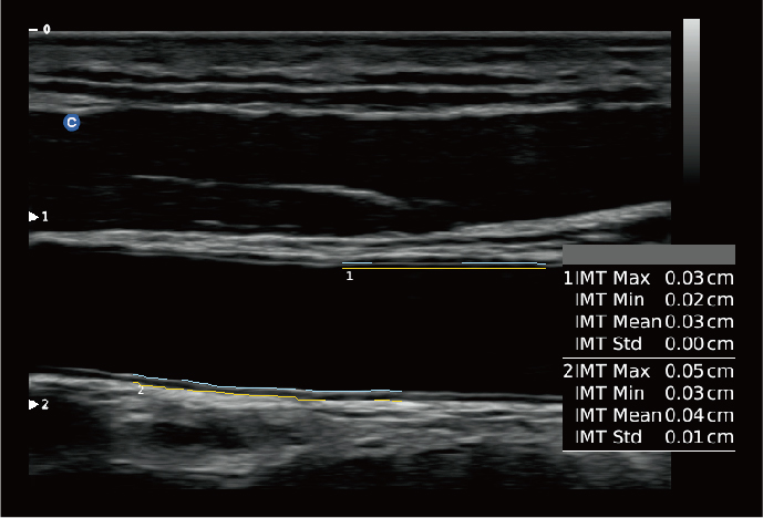
Carótida, Mode 4B
AUTO IMT
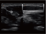
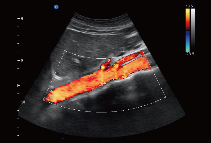
Super buque <1 cm de profundidad, CW Modo
Arteria Poplítea, Modo Triplex
Placa carótida, Modo B
Útero, Mode B
Hígado, Mode B
Espina fetal, Mode B
Riñón, Mode C
Arteria Aorta, Mode B
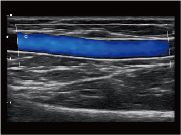
Vasos superficiales <0,2 cm de profundidad, CPA Modo
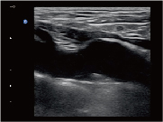
Tendón flexor primario, Mode 2B
Adenomas múltiples tiroideos, Mode B/BC
Cordón umbilical, Mode B/BC