Tecnologías avanzadas
X-contrast
● La resolución de contraste se puede establecer en 3 niveles diferentes según las diferencias de los tejidos.
● Activado por una de las claves: Aumentada, Normal, Reducida.
.jpg)
Proyector Q-beam
● En comparación con el tradicional doble haz, QBit usa quad-Haz que duplica el volumen de la señal recibida así como la velocidad de fotogramas.
● La mayor velocidad de fotogramas mejora la eficacia al realizer el diagnostico
.jpg)
FHI
● Modifica la transmisión y recepción del flujo para maximizar la resolución sin perder la penetración en pacientes de mayor tamaño corporal.
● Mejor que el THI tradicional y el armónico en fase que comprometen la penetración
● La tecnología FHI de Chison mejora las capacidades de diagnóstico en pacientes más grandes, difíciles de diagnosticar.
.jpg)
Q-flow
● Esta tecnología de detección de color adaptativo puede ajustar automáticamente la evaluación de la señal de color y ruido según los diferentes tejidos.
● Como resultado, la sensibilidad al color del flujo de baja velocidad es significativamente mayor.
.jpg)
Modo Pantalla completa
● Modo de pantalla completa sin perder resolución de imagen.
● Proporcionarle más detalles para un diagnóstico más preciso.

Gráfico de CADERA
Utilice un gráfico para el diagnóstico de patologia de cadera, ayudan al médico a dar un diagnóstico más fácil y más preciso durante la exploración pediátrica de la cadera.
.jpg)
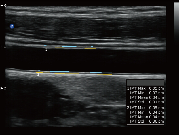
Función auto de la IMT
Automáticamente rastrea la intima y mide su espeso. Esto le permite medir la íntima más rápido y de forma más precisa.
.jpg)
Super Needle
Con Super Needle, los médicos pueden ver la aguja dentro del tejido más claramente durante procedimientos médicos. Ángulo de la aguja hasta ±30 °