English
中文版
Español
Pусский
在线招聘
|
获取报价
|
注册
登录
CHISON
主页
产品展示
掌上超声
推车式彩超
便携式彩超
平板式彩超
黑白超声
优质图像
用户服务
服务宗旨
问题解答
信息反馈
技术支持
资料下载
用户注册
新闻事件
企业活动
企业新闻
祥生直播间
关于我们
公司简介
发展历程
全球用户
投资者关系
基本信息
联系我们
联系我们
地图路线
Home > Products > Color Doppler
SonoBook 6
至臻秀影 灵巧呈现
SonoBook 6 拥有高性能的硬件构架,创新性的硬件平台,使产品能够承载先进技术、提供高清图像的同时,更能快人一步传输图片,方便快速扫查就诊。
技术支持
临床图片
临床应用
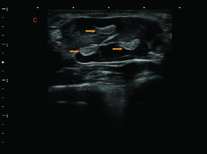
腕腱,B模式
下腔静脉,B模式
门静脉,彩色模式
左室长轴,二维模式
颈动脉,彩色模式
贵要静脉,脉冲多普勒模式
在线帮助
对于购买我们的产品
有任何疑问,请您在
线提交信。
发送邮件
相关产品
51% Views:
SonoBook 9
简于形 强于芯
16% Views:
ECO 5
轻巧便携 如影随形
12% Views:
SonoBook 5
硬核性能 先进技术
10% Views:
ECO 6
随时随地 即插即用
Go Top