English
中文版
Español
Pусский
在线招聘
|
获取报价
|
注册
登录
CHISON
主页
产品展示
掌上超声
推车式彩超
便携式彩超
平板式彩超
黑白超声
优质图像
用户服务
服务宗旨
问题解答
信息反馈
技术支持
资料下载
用户注册
新闻事件
企业活动
企业新闻
祥生直播间
关于我们
公司简介
发展历程
全球用户
投资者关系
基本信息
联系我们
联系我们
地图路线
Home > Products > Color Doppler
SonoTouch 30
全数字彩色超声诊断系统
技术支持
临床图片
·便携超声,让我们看到了超声的未来,用手触控,连接探头探索生命的境地,轻便易用,强劲电力,广泛临床应用,不负你的想象 ·应用范围:麻醉,急救,肌肉骨骼等 ·全触摸10.4英寸LED显示器,防水,易消毒,灵敏度高 ·一键全屏,大幅增加图像区域
临床应用
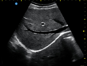
肾脏,B 模式
中心静脉通路,B 模式
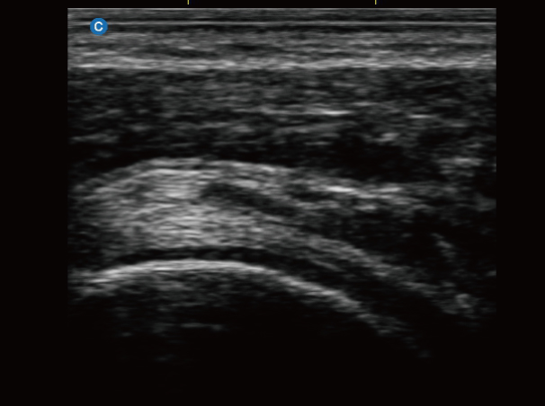
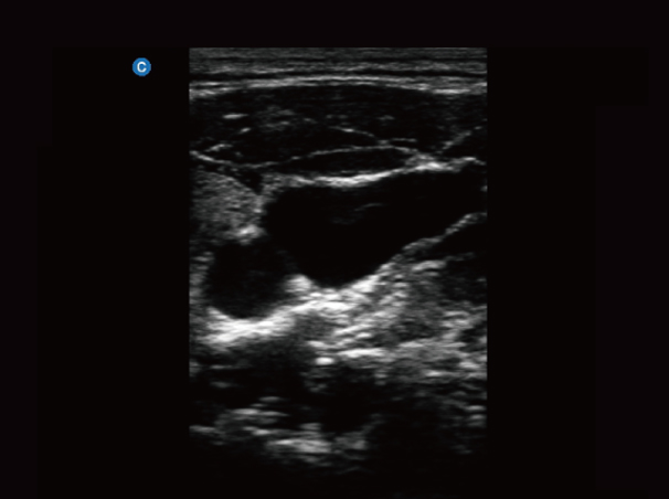
肩胛下肌腱
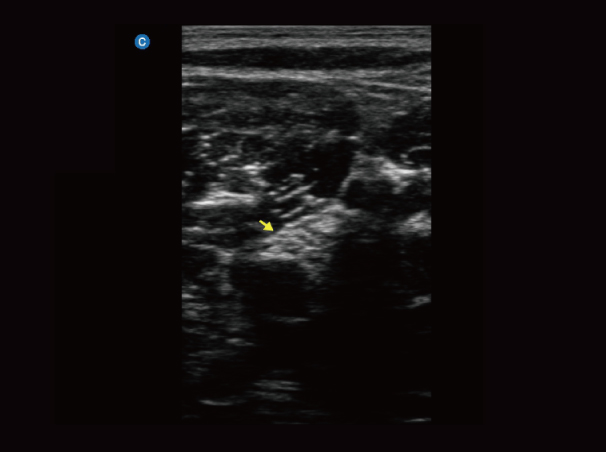
腘坐骨神经,B 模式
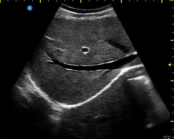
肝脏,B 模式
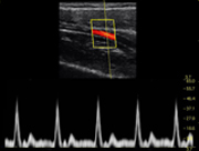
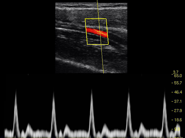
尺动脉,频谱模式
在线帮助
对于购买我们的产品
有任何疑问,请您在
线提交信。
发送邮件
相关产品
45% Views:
Site~Rite*80
全数字彩色超声诊断系统
Go Top