● Fortaleza fuertemente el vínculo entre madre y el feto.
● Con fuente de luz virtual móvil.


.jpg)


3.5MHz Convex
7.5MHz Linear
12.0MHz Linear
7.5MHz Linear
6.0MHz Transvaginal
7.5MHz Transvaginal
4.5MHz 4D Volume
3.0MHz Micro-Convex
5.0MHz Pediatric
6.0MHz Pediatric
3.0MHz Phased array
6.0MHz Phased array probe
Umbilical Cord,PW Mode
Ovarian Dropsy 2B Mode
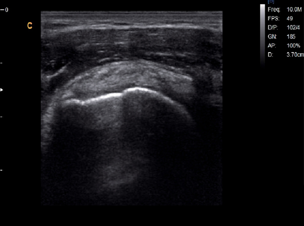
Musculoskeletal,B Mode
Four Chambers View,B BC Mode
Fetus,2B Mode
Fetal,4D
Carotid,BBC Mode
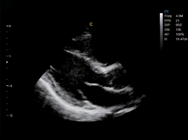
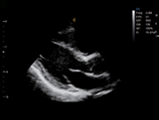
Cardiac
Interventricular Septum, TDI Mode
Blood Flow of Mitral Valve, PW Mode
LV Longitude View, B Mode
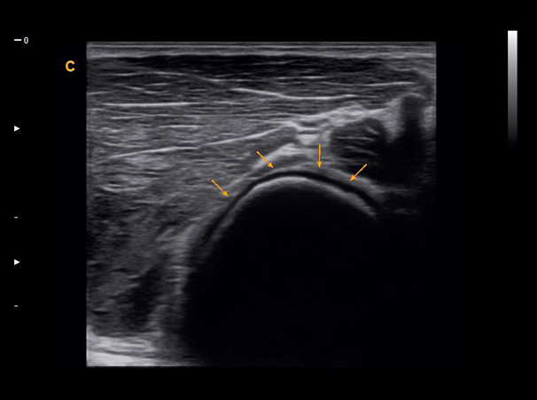
Subscapularis Tendon, B Mode
29 Weeks Fetal Face, 4D Mode
Apical Four Chamber View, B Mode