English
中文版
Español
Pусский
在线招聘
|
获取报价
|
注册
登录
CHISON
主页
产品展示
掌上超声
推车式彩超
便携式彩超
平板式彩超
黑白超声
优质图像
用户服务
服务宗旨
问题解答
信息反馈
技术支持
资料下载
用户注册
新闻事件
企业活动
企业新闻
祥生直播间
关于我们
公司简介
发展历程
全球用户
投资者关系
基本信息
联系我们
联系我们
地图路线
Home > Products > Color Doppler
iVis 80
心之所向 万千境界
祥生医疗彩色超声诊断系统iVis 80进阶版全新上市。除了袭承祥生于台式彩超方面的先进图像技术外,在产品功能上有所升级,使临床应用更丰富、更广泛,帮助客户解决更多临床问题,提高诊断信心。
技术支持
临床图片
临床应用
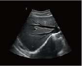
肩胛下肌肉 B模式
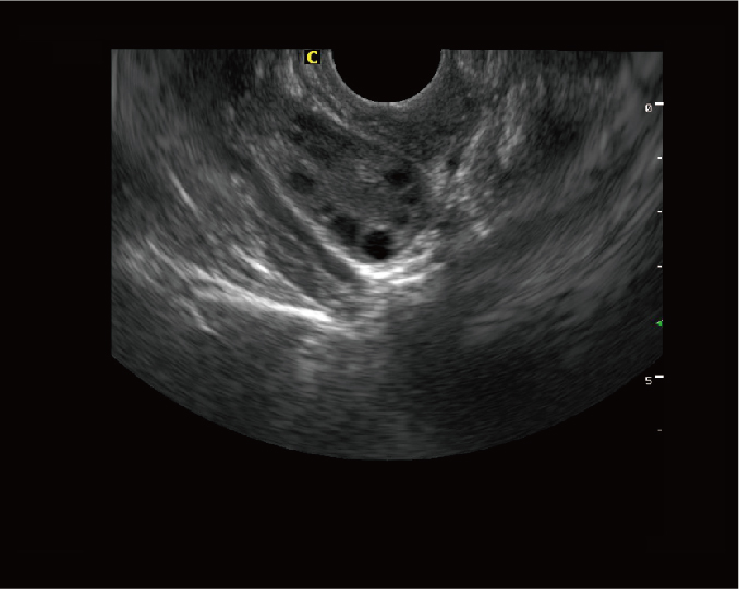
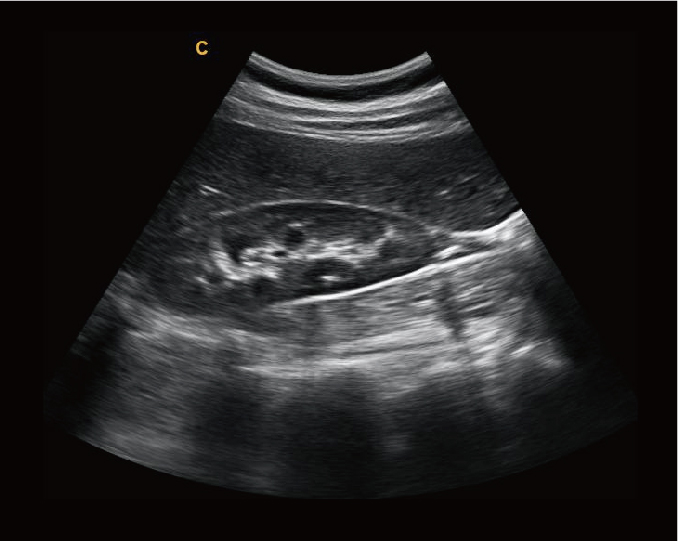
卵巢,B 模式
脐带血流频谱
肾脏,B 模式
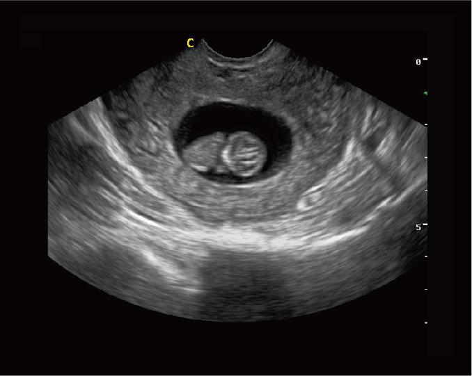
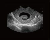
早孕,B 模式
肝脏,B 模式
在线帮助
对于购买我们的产品
有任何疑问,请您在
线提交信。
发送邮件
相关产品
15% Views:
XBit 90
影承万像 智领未来
9% Views:
iVis 70
全新平台 精粹丽影
8% Views:
iVis 60EXPERT
慧眼识图 专属体验
6% Views:
iVis 60
精创视界 触手可及
Go Top