English
中文版
Español
Pусский
在线招聘
|
获取报价
|
注册
登录
CHISON
主页
产品展示
掌上超声
推车式彩超
便携式彩超
平板式彩超
黑白超声
优质图像
用户服务
服务宗旨
问题解答
信息反馈
技术支持
资料下载
用户注册
新闻事件
企业活动
企业新闻
祥生直播间
关于我们
公司简介
发展历程
全球用户
投资者关系
基本信息
联系我们
联系我们
地图路线
Home > Products > Color Doppler
XBit 90
影承万像 智领未来
拥有祥生先进系统平台,集造影成像等数十项技术及精巧设计于一身,以高清图像满足用户的多样化需求,助力医疗人员临床诊断。
技术支持
临床图片
临床应用
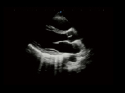
左心室,B 模式
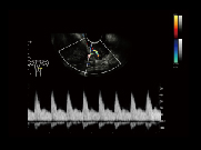
子宫血流,PW模式
指尖血流,PW模式
心脏,C模式
胎儿面部
胎儿,B模式
肾脏 C模式
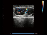
三尖瓣返流,C模式
三尖瓣反流,CW模式
前列腺,弹性成像
淋巴结,C模式
颈动脉 B BC模式
在线帮助
对于购买我们的产品
有任何疑问,请您在
线提交信。
发送邮件
相关产品
10% Views:
iVis 80
心之所向 万千境界
9% Views:
iVis 70
全新平台 精粹丽影
8% Views:
iVis 60EXPERT
慧眼识图 专属体验
6% Views:
iVis 60
精创视界 触手可及
Go Top