


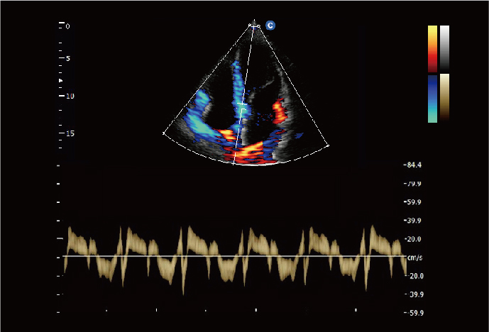
Регургитация аротального клапана, Режим CW
Тканевый доплер, Режим PW
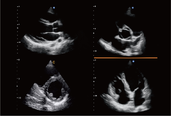
Длинная ось левого желудочка, Автоматический М-режим
4-камеры, Цветной М-режим
Сердце, Режим 4В
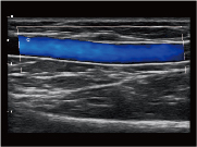
Автоматическое измерение интима-медиа
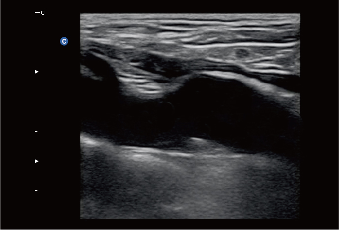
Поверхностный сосуд < 1см глубина, Режим С
Подколенная артерия, Режим Триплекс
Бляшка сонной артерии, Режим В
Матка, Режим В
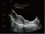
Печень, Режим В
Плодное сердце, Режим В
Почка, Режим С
Аротальный клапан, Режим С
Поверхностный сосуд < 0.2см глубина, Режим СPA
Первичное сухожиние сгибателя, Режим 2В
Щитовидные множественные аденомы, Режим B/BC
Пупочный Канатик, Режим B/BC