Home > Products > Color Doppler

QBit 7

Эргономичность, продуманность, мобильность.

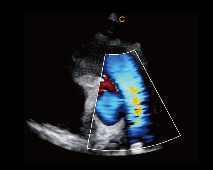
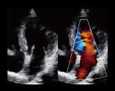
CHISON QBit 7 – ультразвуковой аппарат с передовой технологией 4D, высоким разрешением цифровых выходных портов и удобным жидкокристаллическим монитором. Производители предлагают универсальное диагностическое решение, с помощью которого можно будет оптимизировать сам процесс исследования. За качество диагностики теперь несут ответственность инновационные технологии X-Contrast, Q-beam, FHI, Q-flow, Q-image.

 







  • V4C40L

    Объемный

  • D6C15L

    Микро-конвексный

  • D5C20L

    Микро-конвексный

  • D3C20L

    Микро-конвексный

  • D7L40L-REC

    Трансректальный

  • D7C10L

    Трансвагинальный

  • D6C12L

    Трансвагинальный

  • D7L60L-60mm

    Линейный

  • D12L40L

    Линейный

  • D7L40L

    Линейный

  • D3C60L

    Конвексный

  • D3P64L

    Секторный фазированный

  • D6P64L

    Секторный фазированный

Go Top