

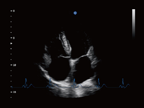
Изображение 4-камеры, ЭКГ
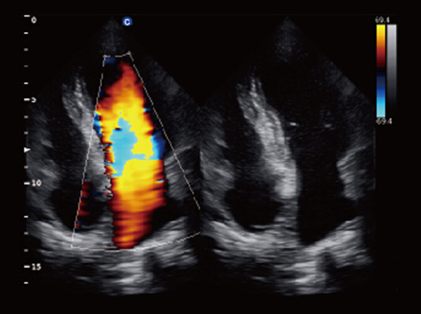
Изображение 4-камеры, Режим B/BC
Изображение 4-камеры, Режим цветовой M
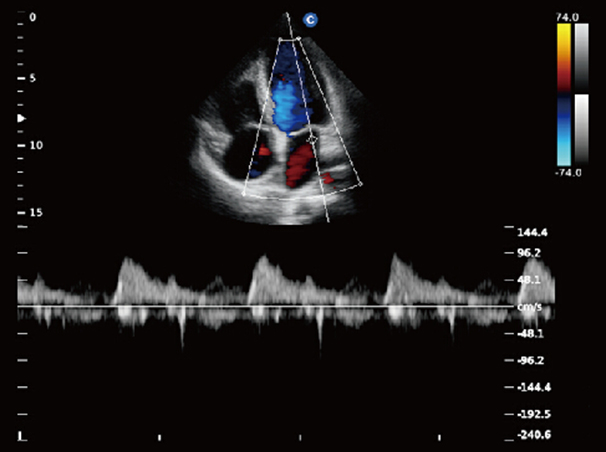
Изображение 4-камеры, Режим TDI
Сердце, Режим CW
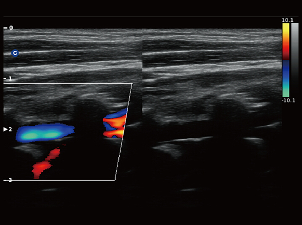
Почка, Режим C
Печеночная вена, Режим B
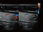
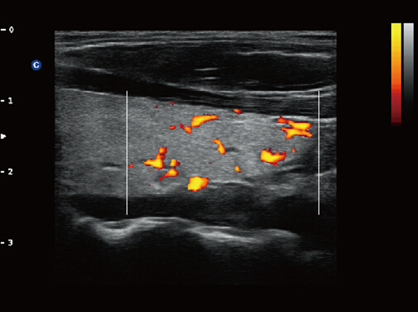
Печеночная вена, Режим C
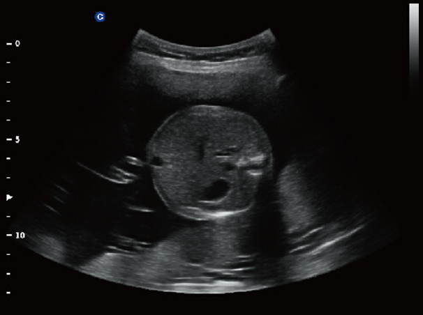
Плодное яйцо, Режим B
Плодный живот, Режим B
Пупочный Канатик, Режим B
Сосуд кочика пальца, Режим C
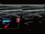
Вертебральный сосуд, Режим B/BC
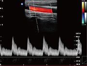
Скелетно-мышечная система, Режим PW
Сонная артерия, Режим Триплекс
Скелетно-мышечная система, Режим B
Щитовидная железа, Режим B/BC
Щитовидная железа, Режим CPA