.jpg)
.png)
Секторный Фазированный
Секторный Фазированный
Микро-конвексный (Педиатрический)
Микро-конвексный (Педиатрический)
Микро-конвексный
4D Объемный
Трансвагинальный
Трансвагинальный
Линейный
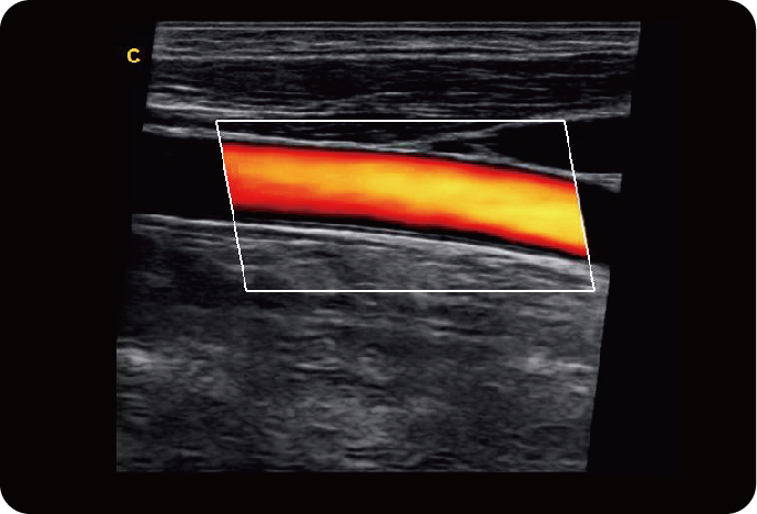
Линейный
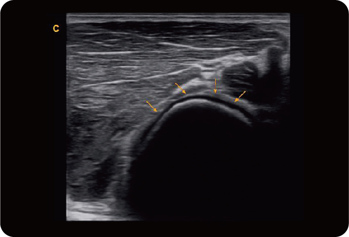
Линейный
Конвексный