English
中文版
Español
Pусский
在线招聘
|
获取报价
|
注册
登录
CHISON
主页
产品展示
掌上超声
推车式彩超
便携式彩超
平板式彩超
黑白超声
优质图像
用户服务
服务宗旨
问题解答
信息反馈
技术支持
资料下载
用户注册
新闻事件
企业活动
企业新闻
祥生直播间
关于我们
公司简介
发展历程
全球用户
投资者关系
基本信息
联系我们
联系我们
地图路线
Home > Products > Color Doppler
QBit 9EXPERT
专业专注 洞察全身
·组织多普勒频谱模式,清晰呈现心脏图像. ·4D超声成像技术,实时呈现图像。 ·贴心售后解决方案。 ·QBit 9EXPERT,强大如你!
技术支持
临床图片
临床应用
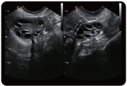
乳头肌短轴切面,TDI M模式
脐动脉,C模式
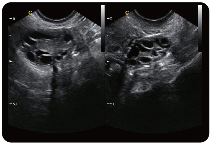
卵巢,2B模式
颈动脉,C模式
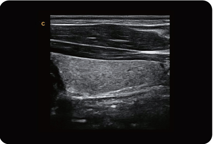
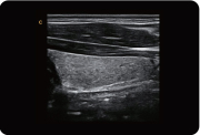
甲状腺,C模式
甲状腺,B模式
在线帮助
对于购买我们的产品
有任何疑问,请您在
线提交信。
发送邮件
相关产品
15% Views:
XBit 90
影承万像 智领未来
10% Views:
iVis 80
心之所向 万千境界
9% Views:
iVis 70
全新平台 精粹丽影
8% Views:
iVis 60EXPERT
慧眼识图 专属体验
Go Top